Le traitement de canal, souvent redouté par de nombreux patients, est en réalité une procédure essentielle pour préserver vos dents. Mais qu’est-ce que c’est exactement ? En termes simples, le traitement de canal consiste à retirer la pulpe dentaire infectée ou endommagée, de nettoyer l’intérieur de la dent et de sceller la chambre pulpaire. Ce processus permet non seulement de soulager la douleur, mais également de sauver une dent qui, sans intervention, pourrait nécessiter une extraction.
Il y a plusieurs raisons pour lesquelles vous pourriez nécessiter un traitement de canal. Les caries profondes, les traumatismes dentaires ou les maladies parodontales peuvent endommager la pulpe dentaire. Les signes avant-coureurs incluent une douleur persistante, une sensibilité accrue aux températures extrêmes, et dans certains cas, un gonflement autour de la dent affectée. Si vous ressentez l’un de ces symptômes, il est crucial de nous consulter.

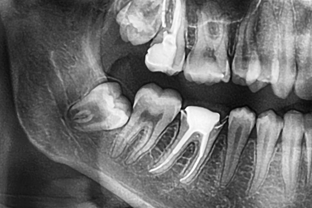
Le traitement de canal permet de sauver une dent en retirant le nerf affaibli ou infecté, ce qui évite d’avoir recours à l’extraction de la dent.

La séance commence généralement par une anesthésie locale pour assurer votre confort. Notre dentiste procédera ensuite à l’ouverture de la dent pour accéder à la pulpe. Après avoir retiré celle-ci, chaque canal sera nettoyé, décontaminé et rempli avec un matériau spécial appelé gutta-percha. Enfin, la dent sera scellée avec une couronne ou un plombage, selon l’étendue des dégâts.
Ne laissez pas la peur vous empêcher de prendre soin de votre santé dentaire ! Le traitement de canal est une procédure courante et efficace pour préserver votre sourire. Grâce à des techniques modernes et des anesthésies efficaces, vous pouvez dire adieu à la douleur et retrouver une dentition saine. N’hésitez pas à discuter avec notre équipee pour obtenir plus d’informations sur cette procédure salvatrice.
Il nous fera plaisir de vous rencontrer et vous serez à même de vous rendre compte qu’un rendez-vous chez un dentiste peut se passer en toute quiétude, calmement et sans crainte.

Notre équipe professionnelle et attentionnée vous offre la meilleure expérience possible et ce, dans un environnement moderne et des plus confortables.
Inscrivez vous à notre infolettre pour recevoir toute l'information et les nouveautés sur notre clinique.